日前,我院骨科关节团队给一名患者完成了首例踝关节镜下手术,这是嘉中心骨科关节团队在微创方向发展的又一项新技术。
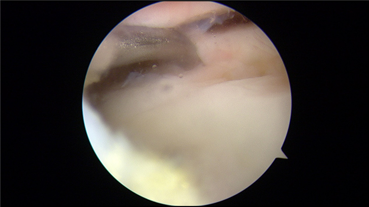
今年50岁的王某,走路时间一长,右踝关节就会出现莫名的酸痛,吃药打针半年也未见好转。近日,他前往我院就诊,骨科主任医师李云飞经过检查诊断其为距骨骨软骨损伤。将患者收入病房后,经过细致的规划和评估,决定为患者实施最新的关节镜下微创手术治疗。术中,通过踝关节前方两个7mm的切口,手术团队清除了患者距骨上剥脱的软骨,并完成了骨髓刺激术。因为创口很小,患者术后几乎没有感觉到疼痛。两天后,患者顺利出院。
据骨科主治医师徐小平介绍,距骨骨软骨损伤,又叫距骨剥脱性骨软骨炎,这类疾病名称很多,如经软骨距骨骨折、隐匿性骨软骨骨折等,目前多称为距骨骨软骨损伤。这种疾病主要在成年人多见,男性多于女性,多数病人有踝扭伤病史,伤后踝关节疼痛,肿胀迁延不愈,经常伴有僵硬,无力,不稳甚至交锁。
目前,距骨骨软骨损伤的治疗分为非手术治疗和手术治疗。一般认为,对青少年患者,如果损伤面积较小,剥脱骨块稳定,可以采用保守治疗,包括限制活动,佩带支具和药物物理治疗。保守治疗3—6个月以上无效的或者损伤面积较大的,应该采取手术治疗。目前对于早期的距骨骨软骨损伤首选的手术是微创的关节镜下治疗:包括关节镜下单纯病灶清理术,关节镜下病灶清理加微骨折术(或钻孔术又称骨髓刺激术)。优点是手术创伤小、术后恢复快,治疗小面积的距骨软骨损伤效果良好,优良率为83%-93%。


踝关节镜下的病灶局部踝关节镜下骨髓刺激术
我院骨科关节团队在顺利开展膝关节镜治疗、肩关节镜治疗的基础上,又向新的领域发起了进攻。“微创是未来手术的方向,微创只有进行时,没有完成时。这也是习总书记关于新时代社会主义建设思想在临床医学中的具体运用。”李云飞主任笑着如是说道。
骨科