当膝关节的功能严重受损时,往往需要进行人工关节置换手术。根据病情不同,有些患者需要进行全膝关节置换,而有些患者仅仅置换一部分膝关节就可以达到治疗效果,这就是膝关节单髁置换术。
张老伯今年70多岁,左侧膝关节反复疼痛多年,平时打个针,吃点药能扛个一段时间,但长时间的保守治疗并没有带来明显好转。今年入秋后,张老伯疼痛显著加剧,遂至我院骨科(关节运动创伤)门诊就诊。

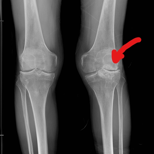
术前检查
经检查,提示其左膝关节外侧已完全磨损,并伴有较大游离体,常卡在关节里,引发疼痛与活动受限。知道自己的情况后,张老伯非常担心:“医生,我这膝盖……是不是非得‘大动干戈’才行?我听说全关节置换手术创伤大,恢复也慢,我这把年纪了,实在有点害怕。”
李云飞主任团队在详细了解张老伯的情况后,耐心解释:“张老伯,您先别太紧张。根据您的具体情况,我们有更精准、创伤更小的解决方案。”原来,张老伯的关节磨损主要集中在外侧间室,内侧韧带及软骨都还保持得相对完好,完全符合“单髁置换”的手术指征。这意味着,只需要像修补轮胎一样,精准置换掉已磨损的“那一半”关节面即可,可以最大程度地保留他自身健康的骨质和韧带。

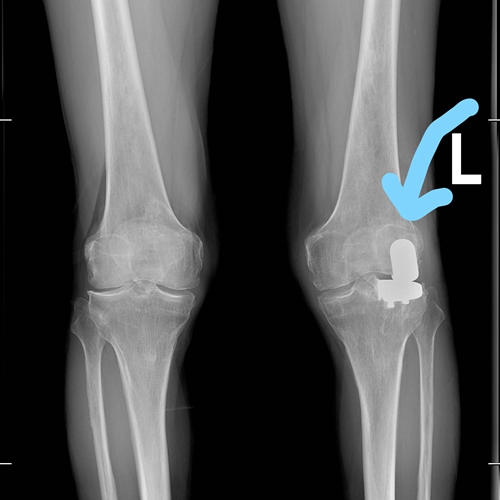
术后
很快团队制定了手术方案,经患者和家属同意,左膝关节外侧单髁置换手术如期开展。术后,张老伯恢复非常好,第二天就下地行走了,他逢人就说这个手术做的效果好!
那什么是外侧单髁置换手术呢?和普通的全膝关节置换有啥不一样吗?
李云飞主任介绍,单髁置换是一种精准的部分关节置换术,针对膝关节中仅单侧间室发生严重磨损的病变。与需要置换全部关节面的全膝关节置换相比,单髁置换具有显著优势:首先,其手术创伤较小,患者术后疼痛更轻、出血更少,因此恢复更快。其次,它能更大程度地保留膝关节自然的韧带结构,特别是交叉韧带,这对于维持关节的稳定性、舒适度及正常的生理活动轨迹至关重要。此外,李主任指出,该技术不仅适用于张老伯这样的外侧磨损病例,对于局限于内侧间室的关节病也同样适用,均可获得良好的治疗效果。
骨科(关节运动创伤)
作为上海市重点学科,科室聚焦“全面均衡发展、特色重点兼顾”的模式,已构建起涵盖关节外科、运动医学、创伤骨科等多领域的特色诊疗体系。目前,熟练开展各类关节(肩、肘、腕、髋、膝、踝)以及运动损伤的治疗与康复。在关节阶梯化诊疗方面,内镜微创、综合力线保膝截骨矫形、单髁置换、全关节置换以及关节翻修等技术均已成熟开展。在创伤救治方面,在处理四肢复杂骨折多发伤及镜下微创处理关节内骨折方面经验丰富。同时在治疗糖尿病足等伴随社会发展出现的新型疾病也走在时代的前端。曾获区重点学科、嘉定区科技进步二等奖等诸多荣誉。
专家介绍
李云飞 骨科(关节运动创伤) 主任医师
专家门诊时间:周一上午、周三下午
擅长脊柱和关节疾病的治疗,能熟练运用关节镜下手术,对早期关节疾病进行诊治干预,创伤更小,恢复更快;运用关节置换技术治疗晚期关节疾患,优良率高。是国内早期开展 SUPERPATH 微创全髋置换术的医师之一。同时在治疗足踝疾病方面也有丰富的临床经验,擅长处理拇外翻、爪形趾、平足等疾患。
来源:骨科(关节运动创伤)